Công nghệ video của HDXWILL liên tục được cập nhật thông qua quá trình nghiên cứu không ngừng.




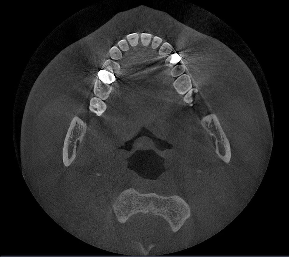
Một thuật toán toán học phản ánh các đặc điểm vật lý của Chụp cắt lớp vi tính chùm tia X (CBCT) và một công cụ AI tiên tiến học từ nhiều dữ liệu khác nhau sẽ phối hợp với nhau để giảm nhiễu và thể hiện cấu trúc răng rõ ràng hơn.

Các hiện vật kim loại được xóa bằng công nghệ AI và cấu trúc răng, mão kim loại và cấy ghép được phục hồi chính xác dựa trên các nguyên tắc toán học.
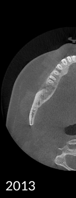
Không có MAR
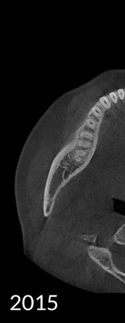
MAR cũ
MAR mới
Không có MAR
MAR cũ
MAR mới